كلية طب الأسنان – جامعة ذي قار تعلن عن جاهزية عياداتها التعليمية لاستقبال المراجعين من أبناء المحافظة
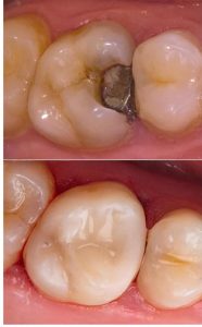
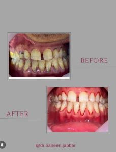
تُعلن كلية طب الأسنان – جامعة ذي قار عن جاهزية عياداتها التعليمية لاستقبال المراجعين من أبناء المحافظة، وذلك ضمن إطار الخدمة المجتمعية التي تقدمها الكلية دعماً لصحة الفم والأسنان. 🦷
تحت إشراف مباشر من أساتذة الكلية الأخصائيين وبدعم من طلبة المراحل السريرية، تم تجهيز العيادات بكافة المستلزمات والأجهزة الحديثة لتقديم أفضل الخدمات العلاجية والتجميلية وفق المعايير الأكاديمية والطبية.
📍 الموقع: عيادات كلية طب الأسنان / حي اور قرب مستشفى الامام الحسين ( ع ) التعليمي
نرحّب بجميع المراجعين ونسعد بخدمتكم
#جامعة_ذي_قار
#كلية_طب_الأسنان
#خدمة_المجتمع






